Ідеальна посмішка - це реальність
Сучасні методи ортодонтії та індивідуальний підхід для досягнення бездоганного результату. Довіртеся досвідченим спеціалістам.

Ваші проблеми з посмішкою?
Нерівні зуби, що впливають на впевненість
Неправильний прикус, що спричиняє дискомфорт
Складнощі з чищенням зубів через їх розташування
Наше рішення
Індивідуальний план лікування з використанням сучасних технологій
Комфортне та безболісне вирівнювання зубів
Регулярний моніторинг прогресу та корекція плану за потреби
Історія успіху
"Я завжди соромилася своєї посмішки через криві зуби. Після року лікування в ORTOLINE моя посмішка повністю змінилася! Тепер я можу впевнено посміхатися на фотографіях та почуваюся набагато впевненіше. Професійний підхід та турбота команди зробили процес легким та комфортним."
Марія, 28 років
Чому обирають нас?
Ваш комфорт та результат - наш головний пріоритет
5+ років досвіду
Багаторічний досвід та постійне вдосконалення навичок
Сучасне обладнання
Використання передових технологій та інноваційних методик лікування
Гарантія результату
Чіткий план лікування та гарантована якість на кожному етапі
Результати та відгуки
Реальні історії наших клієнтів
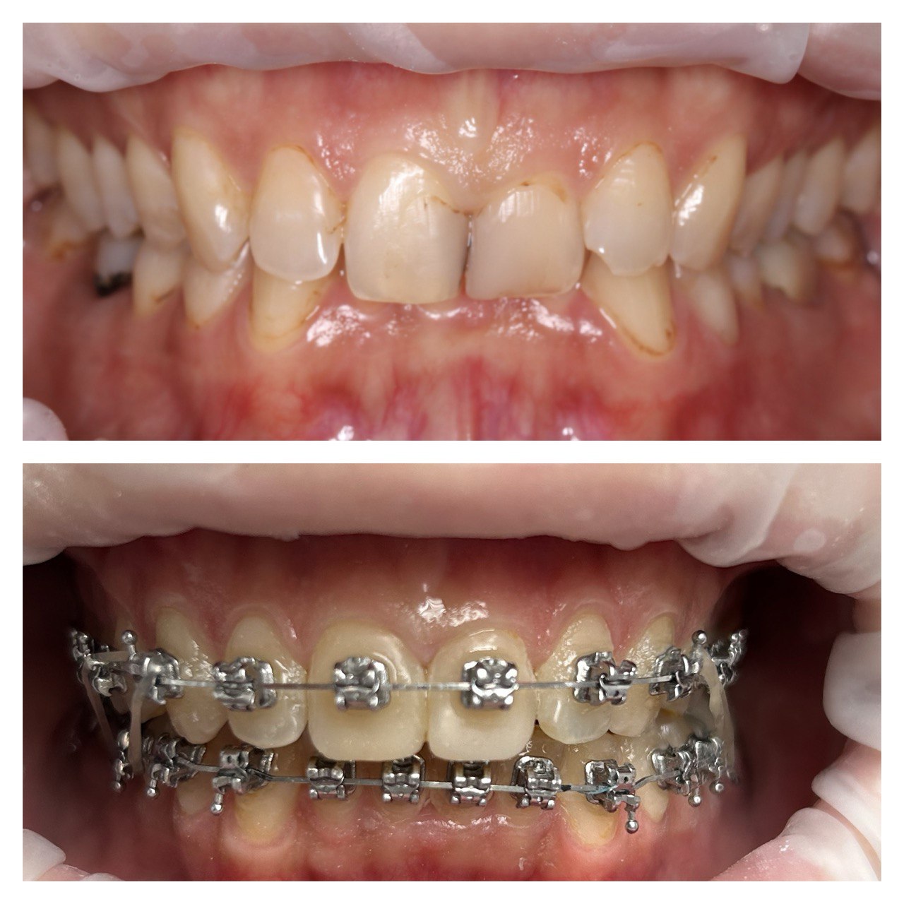
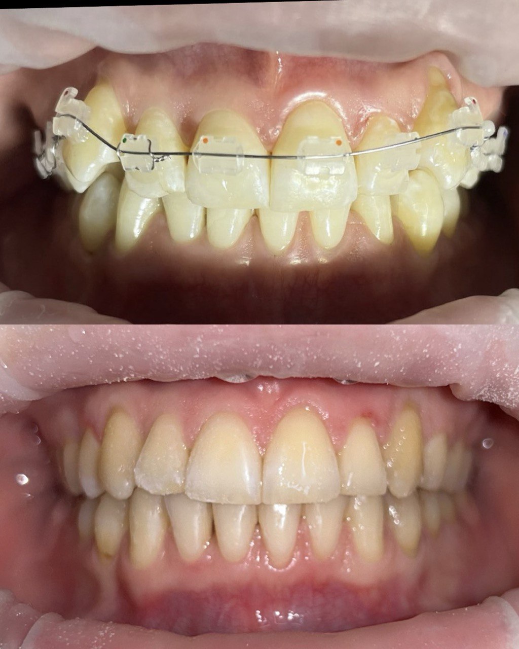
До та після


Корекція прикусу та вирівнювання зубного ряду за допомогою брекет-системи


Вирівнювання зубів за допомогою металевих та керамічних брекетів
Відгуки наших клієнтів
Олена Петренко
"Проходила ортодонтичне лікування у цього спеціаліста, і результат перевершив мої очікування! Брекети носила трохи більше року, і тепер моя посмішка ідеальна. Лікар дуже уважний, завжди пояснював кожен етап лікування. Дякую за чудову роботу!"
Максим Коваленко
"Довго сумнівалася, чи варто ставити брекети, але завдяки професіоналізму лікаря всі переживання швидко зникли. Лікування було комфортним, а головне – ефективним. Тепер не можу намилуватися своєю посмішкою! Рекомендую всім, хто хоче мати рівні зуби!"
Анна Мельник
"Дуже задоволена результатом ортодонтичного лікування! Спочатку було страшно, але лікар детально пояснив процес, і все пройшло чудово. Посмішка стала рівною, і це додало мені впевненості. Велике спасибі!"
Часті запитання
Відповіді на популярні запитання про ортодонтичне лікування
Скільки часу займає лікування брекетами?
Тривалість лікування індивідуальна та залежить від складності випадку. В середньому, процес триває від 1 до 2 років. На першій консультації лікар зможе визначити приблизний термін саме для вашого випадку.
Чи боляче носити брекети?
Перші кілька днів після встановлення та кожного коригування може відчуватися незначний дискомфорт. Це нормально і швидко минає. Ми надаємо рекомендації щодо зменшення дискомфорту та адаптації.
Які обмеження в їжі при носінні брекетів?
Слід уникати твердої, липкої та занадто жорсткої їжі, яка може пошкодити брекет-систему. Детальні рекомендації щодо харчування ви отримаєте після встановлення брекетів.
Чи можна встановити брекети в будь-якому віці?
Так, вікових обмежень для ортодонтичного лікування немає. Головне - здорові зуби та ясна. У нашій практиці є успішні випадки лікування пацієнтів різного віку.
Вартість послуг
Прозорі ціни на всі види ортодонтичного лікування
Брекет-системи (За щелепу)
- Металеві брекети15.000₴
- Металеві самолігуючі20.000₴
- Керамічні брекети25.000₴
Invisalign
- Invisalign Fullвід 3600$
- Invisalign Liteвід 2300$
- Expressвід 1900$
Додаткові послуги
- Консультація500₴
- Діагностика та план лікування2000₴
- Професійна гігієнавід 1000₴
Почніть свій шлях до ідеальної посмішки
Запишіться на безкоштовну консультацію до 18 травня

